Pineal Gland Cyst Treatment
Although most pineal cysts are.
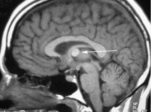
Pineal gland cyst treatment. The pineal gland is a small endocrine gland in the brain of animals with backbones. The pineal gland produces melatonin a serotonin derived hormone which modulates. A pineal cyst is a fluid filled mass that can occur in the pineal gland. True pineal gland cysts are not brain tumors.
Rather they are a completely benign cyst. Pineal cysts are common usually asymptomatic and typically found incidentally. Their importance is mainly in the fact that they cannot be distinguished from cystic. Cysts are sac like structures that may be filled with gas liquid or solid materials.
Read about different types of cysts causes symptoms treatment and removal. A cyst is a closed sac having a distinct membrane and division compared with the nearby tissue. Hence it is a cluster of cells that has grouped together to form a. A retrocerebellar cyst also known as retroserebellyarnoy the most common disease of the brain is a benign liquid formation.
Arachnoid cysts are found in the space between the two innermost layers of the coverings of the brain known as the meninges. Treatment may simply require watching the. Advanced treatment of pineal cysts. Pineal cysts are benign fluid filled deposits located in the pineal gland region of the brain.













































